당뇨병
우리 눈은 인체에서 뇌 다음으로 피가 가장 많이 필요한 장기이며 외부자극의 대부분을 시각에 의존하는 만큼 아주 중요한 부위입니다.
과거 먹을 것이 부족해 옆집 뽀삐처럼 흔하게 걸리던 영양실조는 눈 씻고 찾아봐도 찾기 힘들지만 반대로 지독 시리 먹을 게 많은 요즘은 영양과잉으로 인해 피가 끈적끈적해지는 당뇨병이 흔해졌습니다.


당뇨병은 인슐린의 부족으로 발생합니다.
인슐린이란 우리 몸에 있는 포도당을 에너지로 변환하는 역할을 하는데 인슐린이 부족하거나 제 기능을 하지 못하면 혈액 속에 포도당이 쓰이지 않고 축적됩니다.
그렇게 혈당이 높아지며 농도가 진해지며 끈적끈적해져 혈액순환에 영향을 줍니다.
당뇨병은 혈액이 많이 필요한 시력에도 많은 영향을 미치며 주로 망막에 심한 타격을 입힙니다.
망막은 빛이 맺히는 곳으로 시각정보를 뇌로 전달하는 역할을 하는데 혈액이 올바르게 흐르지 않아 손상을 입힙니다.
당뇨병 자체만으로도 일상에 불편함이 많지만 조금만 관리가 소홀해도 합병증의 발병률이 높아지기 때문에 특히 더 위험합니다.
한번 손상된 망막은 원래 상태로 회복되는 게 아주 어려우므로 주기적인 검진이 필요합니다.
당뇨병으로 인한 안질환
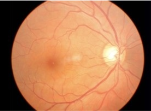
당뇨망막병증
망막에는 수많은 미세혈관과 시신경조직이 복잡하게 얽혀있는데 혈당이 높아지는 당뇨환자의 경우 망막의 미세혈관에 자극과 손상을 줘 종국엔 당뇨망막병증을 유발합니다.
특히 망막은 혈액공급이 아주 중요한 부위로 혈액순환장애는 망막기능에 큰 타격을 줍니다.
당뇨망막병증은 배경성과 증식성으로 구분되며 증식성은 모세혈관, 소동맥, 소정맥 병변을 동반합니다.
보통 출혈은 망막 안이나 앞 어디든 나타나 나룻배 모양, 점 모양 등이 나타날 수 있으며 황반에 침범하면 시력손상 및 실명이 됩니다.
황반부종 및 망막박리
당뇨망막병증에 의해 황반부종이 유발되었거나 더 심한 증식성 당뇨망막병증으로 망막박리가 생길 수 있습니다.
황반부종은 망막의 중심인 황반 아래에 물이 차는 것을 말합니다.
그로 인해 시야의 선명도를 감소시키고 식별하는 능력이 떨어집니다.
그리고 당뇨망막병증이 더욱 심해지면 유리체 내 성해혈관조직이 생겨 망막을 잡아당겨 망막과 유리체가 떨어지는 망막박리도 발생하게됩니다.
이런 경우 역시 제때 치료하지 않으면 실명에 이를 수 있으니 갑자기 눈앞이 번쩍거린다면 빠른 판단이 필요합니다.
당뇨망막병증 예방 및 관리
안타깝게도 당뇨망막병증은 뚜렷한 초기증상이 없어 많이 악화된 후 병원을 찾는 사례가 많다고 합니다.
현대의학으로는 아직 완치가 어려워 눈을 건강한 상태로 만드는 것이 아닌 현재 상태를 최대한 오래 유지하고 진행을 늦추는데 그 의의가 있습니다.
그러니 조기발견이 우선적이며 더 이상의 시기능 손상을 막는 게 중요합니다.
당뇨를 오래 앓고 있을수록 당뇨망막병증의 유병률은 높아지므로 먼저 당뇨병 개선을 위해 규칙적인 운동과 건강한 식습관이 중요합니다.
그리고 가장 중요한 혈당수치, 혈압, 콜레스테롤
예를 들어 눈앞에 검은 점 혹은 날파리 같은 게 날아다니는 비문증이나 눈이 침침해지거나 사물의 윤곽이 왜곡되어 보인다면 망막에 출혈이 있을 때 발생합니다.
그리고 갑자기 눈앞이 번쩍거리면 당뇨망막병증이 어느 정도 진행 중이므로 신속히 안과로 뛰어가셔야 합니다.

글을 마치며
한 고객님께선 먹고사는 일에 바빠 몸이 예전과 달라졌음을 인지했음에도 '나이가 들어 그런가'라며 대수롭지 않게 여겼다 합니다.
어느 날 친지들과 맛있는 만찬과 술을 곁들이고 잠을 청했는데 갑자기 눈이 너무 아파 일어나 보니 앞이 안보였다고 합니다.
놀란 마음에 양손으로 얼굴을 더듬어보니 축축한 액체가 줄줄 흐르기에 무엇인가 보니 피였다고 합니다.
당이 급격히 올라 취약한 신생혈관이 터져버린 것입니다.
이런 증세가 나타났을 때는 이미 실명에 이를 수 있는만큼 위험천만한 상황이었지만 다행히도 그 정도까진 아니었고 약간이지만 보인다며 호탕하게 웃으시며 지난밤 꿈 얘기하듯 말씀하시던 게 기억나네요
저도 집안 가족력으로 가족 친지들의 경우 당뇨가 많은데, 못난 놈 여름엔 시원한 에어컨 밑에서 겨울엔 따뜻한 난로 앞에서 일하게 만들어줬으면서 왜 그동안 제 몸 하나 챙기지 않으셨는지.
항상 크게만 보이던 분들의 다리가 하루가 다르게 얇아지는 모습을 보자면 마음이 참 아픕니다.
부모님 앞에선 왜 항상 고맙고 미안한 마음이 함께하는지 모르겠습니다.
'있을 때 잘하자'라는 말을 되뇌며 글을 마칩니다.
'안경' 카테고리의 다른 글
| 하우스브랜드와 프레임 프랑스 빈티지안경 (0) | 2024.02.24 |
|---|---|
| 마이오스마트 썬케어 신제품 (0) | 2024.02.19 |
| 조절래그와 젊은 노안 (2) | 2024.02.04 |
| 적외선의 종류와 근적외선 차단렌즈 (0) | 2024.02.02 |
| 색각이상 색맹과 색약 (0) | 2024.01.21 |